Pearle Smylz Dental Clinic has always tried and set high standards for treatment. We believe in utmost patient comfort. We are equipped with latest technology and soft hand skills. For Foreign Nationals visiting us from abroad, we even have facilities to help them explore our beautiful nation as per their need and budget.
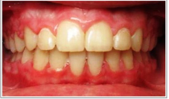
Emergency Care
Do not hesitate to seek help. Urgent dental care is provided usually the same day.
General Dental Care
General dentistry is for patients of all ages offering complete, comprehensive dental health care.
Restorative Dentistry
We work toward creating youthful smiles for patients whose natural teeth require replacement.
Cosmetic Dentistry
A beautiful smile contributes to a better mood and boosts self-esteem.
"
Had visited Dr. for cleaning and filling of decay ,handled the entire case very carefully knowing I am pregnant and made me extremely comfortable. Excellent experience will definitely visit him in future for other dental requirement s as well.
"
I was so scared of going to a dentist but all my fears gone.. when I met Dr. Nachiket. Excellent doctor... very soft spoken and treated me so respectfully. I recommend Dr Nachiket for all dental treatments
"
Dr. Nachiket has a unique quality of putting his patients at ease and having the treatment painless and stress free. The fear of any dental treatment just vanishes. Thank you!
"
A really good doctor with expertise. Perfect service and a clean clinic. Would recommend it to anyone.
"
Wonderful doctor ! Great with kids..have been consulting him for 3 years for my kids
© 2019 Pearle Smylz. All rights reserved | Website Design & Development by SIB Infotech